胸痛是急诊科最常见疾病之一,作为急诊科最重要的任务就是尽快在大量胸痛患者里面筛选出高危重症患者。这些高危重症患者最常见的就是:急性心肌梗死、急性肺栓塞和主动脉夹层。而这三种疾病的治疗存在治疗矛盾,因此诊断和鉴别诊断尤其重要,正确的诊断才有后面治疗,多少次如履薄冰如临深渊,只有急诊人才会明白。

“医生,我又来了,我还是感觉胸痛。”几乎所有的急诊医生都认识他,一位三十岁左右的“白领”,然而时常感觉“胸痛、胸闷”,他最重要的诱因是听说一位朋友年纪轻轻就得了心肌梗死,于是对照自己就发现自己“心肌梗死”了,然后就成了急诊室的常客,每当工作压力大,就“胸痛”起来。因为来的次数太多了,不仅仅是医生,护士也很熟悉他。不止一次和他说,“你没有心脏病,最多有体重偏大的危险因素,但是危险因素不等于疾病。”可他几乎是隔一段时间就来急诊“看病”,要排除心肌梗死。“可我的确是感觉到胸痛,还有胸闷啊!”不可否认的是,他有感觉,然而这种感觉却不是“真正的感觉”,是“错觉”,然而的确有一些人有这样的感觉,其实很多情况下是由心理问题导致,急诊不是处理这样疾病的场所,但他仍旧来急诊,每次来急诊都要求排除“心肌梗死”,面对这样的病人,急诊医生也是非常的无奈。
“医生,从外院转来一位心肌梗死的病人,快来抢救室看看吧。”虽然“白领哥”还在纠缠于自己是否是心肌梗死了,但我必须要离开了,因为抢救室有病人在等我。“医生,你还没有看完我呢……”“您回家吧,肯定没有心肌梗死,放心吧。”我赶紧冲进抢救室。作为国内最早开展胸痛急诊救治的医院之一,我们整个团队对于诊治包括“急性心肌梗死、急性肺栓塞和主动脉夹层”在的胸痛,经非常熟练了。每一个人各司其职,配合非常默契。看着心电监护上显示的生命体征,心率82次/分,血压86/52mmHg(用着升压药),氧饱和98%,她是心肌梗死吗?可以排除急性肺栓塞和主动脉夹层吗?她已经是低血压了,但好像几乎没有什么休克的表现。无数次考验我们的鉴别诊断又来了。这样的题目每天都做,每个病例都有不同,魅力无穷。
“您怎么感觉不好?”“昨天晚上10点左右吧,我正哄着孙子睡觉,突然感觉胸口疼,然后就全身大汗,后背都是汗,那种疼太厉害了,从来没有这样疼过,于是赶紧去医院了,医院查心电图,查血还有CT检查,怀疑心肌梗死,医院处理不了,于是赶紧到你们医院来了。”赶紧看看表,离发病已经11个小时了,如果是急性心肌梗死,马上就要达到黄金12小时了,留给我们的时间不多了。赶紧翻看一下外院的检查结果,心电图似乎没有什么问题,没有看到明显的心肌梗死的征象,心肌酶也不高,患者胸部CT似乎也没有问题。“做全导联心电图(十八导联心电图),复查心肌酶。”当地医院为什么怀疑是心肌梗死呢?心肌酶不高,是因为离发病时间多的原因吗?“您之前长过什么病吗?”“我身体很好,一直帮儿子看孙子呢,大部分时间都是我带孙子。”老人明显露出一丝丝的自豪和骄傲。“有高血压、冠心病和糖尿病吗?最近做过手术吗?再和我描述一下当时疼的位置吧。”“我没有高血压,量过好多次,高压一直都是130左右吧,好像低压有点高90多,不到100。”“那您还是有高血压了,低压超过90也是高血压啊。”“我没有冠心病,也没有糖尿病,更没有做过手术。”“那您在描述一下当时怎么疼的吧。”“刚刚开始吧,就是胸口疼,非常非常的疼,然后就这个疼向上走,直到脖子,然后又向下走,疼得我全身大汗,后背都是汗。”
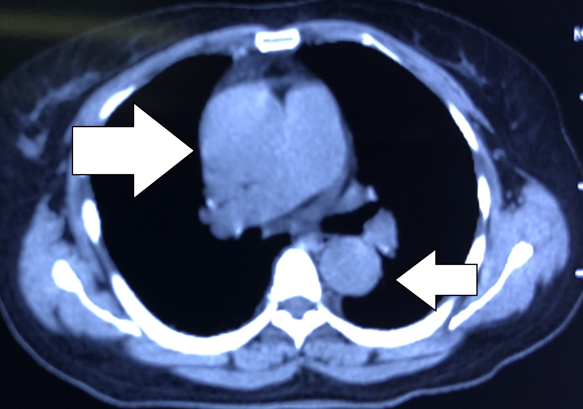
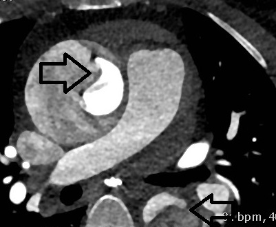
的确很奇怪,这样的描述竟然和主动脉走形如此类似。“病人的心肌酶结果出来了,都在正常范围之内,心电图给你看。”护士把心电图递给我,全导联心电图没有心肌梗死的特征性的表现。难道是夹层?!尤其是病人描述的疼痛变化,几乎就是主动脉走形的素描。摸摸患者的双侧足背动脉,搏动一致,再看看患者的CT,仔细的研读一下,我大吃一惊。患者升主动脉内血液的密度明显不均一,仔细看看降主动脉内似乎有一飘带。难道是夹层?!这一疾病起危险程度远甚于急性心肌梗死。

和患者家属仔细说说病情,目前离患者症状发作已经超过11小时了,但是心肌酶仍然不高,心电图也没有特征性的变化,基本可以排除心肌梗死了,但是有高血压病史(虽然血压似乎不是很高),这再加上疼痛发生的整个过程,还有CT表现,几乎是教科书式的主动脉夹层。然而跟根本不懂医学的家属讲病情还是需要耐心还有化复杂为简洁的能力。和家属交往久了,慢慢就会和患者家属交流了,很快家属就明白了问题所在,同意做强化CT来明确诊断。
在放射科配合下,很快CT片就摆在我们面前了,看着CT我再一次感觉“如履薄冰如临深渊”,如果就按照心肌梗死处置,那就是不可挽回的灾难性后果。

后记:急性心肌梗死、急性肺栓塞和主动脉夹层,这三种疾病构成了高危胸痛最主要的疾病谱。在急诊,在抢救室,诊断和鉴别诊断异常重要,诊断清楚了才会有正确的后续治疗,如果错误的诊断会有灾难性的后果。文中所述CT平扫不能作为诊断的依据,只能是证据的一种,在某些情况下平扫CT可以出现密度不均一,相对于密度不均一,钙化点的内移诊断价值更大。有无高血压、双上肢血压有无差别、足背动脉搏动是否一致,这些都不是诊断主动脉夹层的充分必要条件,所有这些都需要综合病史和疼痛性质来综合考虑。